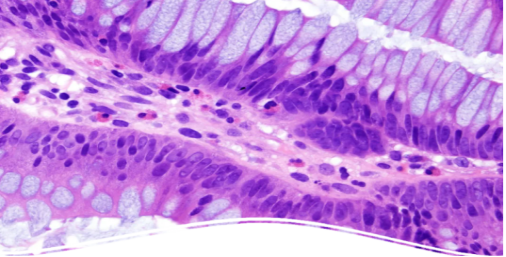
蘇木精—伊紅染色法(Hematoxylin-eosin Staining),簡稱HE染色法,是組織學、胚胎學、病理學教學與科研中最基本、使用最廣泛的技術方法。
蘇木精染液為堿性,主要使細胞核內的染色質與胞質內的核糖體著紫藍色;伊紅為酸性染料,主要使細胞質和細胞外基質中的成分著紅色。

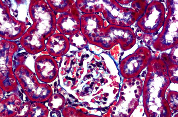
Masson染色(MT染色)是結締組織染色中最經典的一種方法,又稱馬松染色,是顯示組織中纖維的主要方法之一,是膠原纖維染色權威而經典的技術方法。
該法染色原理與陰離子染料分子的大小和組織的滲透有關,分子的大小由分子量來體現,小分子量易穿透結構致密、滲透性低的組織;而大分子量則只能進入結構疏松的、滲透性高的組織。
然而,淡綠或苯胺藍的分子量都很大,因此Masson染色后肌纖維呈紅色,膠原纖維呈綠色或藍色,主要用于區分膠原纖維和肌纖維。

介紹完兩種染色,接下來步入正題。相信大家在做組織化學染色時,經常會遇到以下問題:
想進行多種組織化學染色(如HE、免疫組化、免疫熒光),但是由于組織樣品狀態、大小等原因,無法得到足夠數量的切片;
辛辛苦苦一頓操作,但由于某些不可預知的因素,導致標本染色結果不佳,實驗重做?不好意思,樣本沒了!
3
師兄師姐已發表高分文章使用的珍貴標本染色,導師想要你再挖掘下其他信息,然而該標本切片已經全部用完了,只有染完色的片子,咋辦?
“他”來啦
FUJIFILM Wako開發的deColorizing Solution(組織標本脫色試劑)。
deColorizing Solution可以對HE染色后確認了組織狀態(特定的結構及細胞的存在)的切片脫色,再重新用于其他染色。該方法的特點在于可以對原本難以脫色的蘇木精、鐵蘇木精進行脫色。
在對HE染色標本脫色時,只需使用deColorizing Solution 1。另外,MT染色標本脫色時需要使用deColorizing Solution 1和deColorizing Solution 2。
使用本產品進行脫色后,通過進行不同的染色,可以從一個組織標本中獲得多個染色信息。
● 可對HE染色和MT染色進行脫色;
● 脫色后可再進行抗體染色或HE染色等;
● 操作簡單,只需本產品浸泡即可。
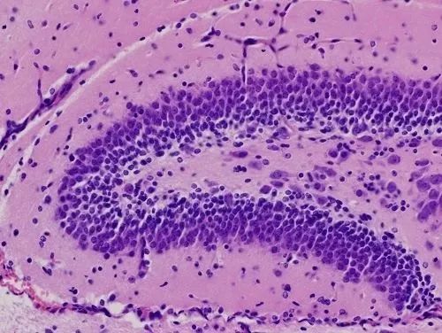
使用小鼠腦(海馬)標本進行HE染色時
使用deColorizing Solution 1進行脫色



紅色:Iba1,藍色:DAPI
使用小鼠肝臟標本進行MT染色時
使用deColorizing Solution 1和2進行脫色

左至右:MT染色→脫色→HE染色
(數據提供:麻布大學小澤秋沙先生、坂上元榮先生)
|
產品編號 |
產品名稱 |
產品規格 |
產品等級 |
|
deColorizing Solution 1 |
250 mL |
病理研究用 |
|
|
deColorizing Solution 2 |
250 mL |
病理研究用 |
本期就到這里啦,廣州東銳科技有限公司是FUJIFILM Wako的授權代理商,如需咨詢相關產品請聯系產品經理楊先生:13822254353。
產品數據來源富士膠片和光(廣州)貿易有限公司